腾博会官网

腾博会官网基因遗传病基因检测组织排名,三甲医院的选择

基因检测就找腾博会官网基因!

热门搜索
  • 癫痫
  • 精神分裂症
  • 鱼鳞病
  • 白癜风
  • 唇腭裂
  • 多指并指
  • 特发性震颤
  • 白化病
  • 色素失禁症
  • 狐臭
  • 斜视
  • 视网膜色素变性
  • 脊髓小脑萎缩
  • 软骨发育不全
  • 血友病

客服电话

4001601189

在线咨询

CONSULTATION

一键分享

CLICK SHARING

返回顶部

BACK TO TOP

分享基因科技,实现人人健康!
×
查病因,阻遗传,哪里干?腾博会官网基因准确有效服务好! 靶向用药怎么搞,腾博会官网基因测基因,优化疗效 风险基因哪里测,腾博会官网基因
当前位置:    致电4001601189! > 检测产品 > 遗传病 > 儿科 >

【腾博会官网基因检测】婴儿癫痫痉挛综合征基因检测病例

【精选基因检测】婴儿癫痫痉挛综合征基因检测病例 一名10个月大的女婴因突发双侧手臂强直伸展运动一周来到腾博会官网基因合作医院儿科神经内科就诊。该女婴为四川的一对近亲家结婚的夫妇的第

腾博会官网基因检测】婴儿癫痫痉挛综合征基因检测病例


受检者病情描述及送检依据

一名10个月大的女婴因突发双侧手臂强直伸展运动一周来到腾博会官网基因合作医院儿科神经内科就诊。该女婴为四川的一对近亲家结婚的夫妇的第三个孩子,孕期平安,孕38周出生,体重2.8 kg(16百分位)。出生时常规头围(HC)测量结果为34 cm(54百分位)。初次就诊时,体格检查显示其身高(72 cm,58百分位)和体重(9 kg,68百分位)均在正常范围内,但存在小头畸形(42 cm,低于5百分位)。神经系统检查显示肌张力增高,右踝关节痉挛,轴向肌肉不稳定,无脱色性皮肤病变,例如低色素斑或咖啡牛奶斑。七个月龄时进行的贝利婴幼儿开展量表测试显示,患者整体发育严重迟缓,发育商 (DQ) 得分如下:认知 DQ = 55,语言 DQ = 68,运动 DQ = 52。然而,社会情感 (DQ = 80) 和适应性行为 (DQ = 84) 得分相对正常。

一周前,她的父母注意到她双臂突然出现强直伸展运动,其特征性表现为在清醒或入睡时出现明显的痉挛,每次痉挛发作 20-30 次。患者无癫痫或神经发育/神经精神疾病家族史。

对患者进行了初步评估,以确定癫痫发作的病因和里程碑式的发育迟缓。脑MRI显示弥漫性脑萎缩,以脑脊液腔外扩大、脑沟明显、胼胝体变薄为特征(图1)。癫痫发作期间捕获了发作期脑电图(EEG),其特征是弥漫性棘波、多棘波和多波放电,随后是电衰减期。发作间期脑电图显示多灶性棘波放电,伴有高振幅背景活动,诊断为高度节律失常和婴儿癫痫痉挛综合征(图2)。患者接受氨己烯酸治疗,起始剂量为50 mg/kg/天,逐渐增加至150 mg/kg/天。然而,由于持续性癫痫痉挛,开始使用大剂量类固醇进一步治疗。经胸超声心动图和腹部超声检查未见异常。

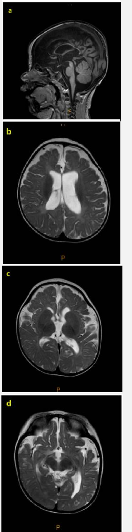
婴儿癫痫痉挛综合征基因检测MRI
图1:患者脑部磁共振成像 (MRI) 表现。患者脑部 MRI 表现。T1 加权矢状面图像 (a) 可见变形的薄胼胝体。弥漫性脑萎缩也很明显,其特征包括明显的轴外间隙、体积减小的脑沟明显以及白质髓鞘形成延迟 (b-d)。
婴儿癫痫痉挛综合征脑电图基因检测
 
患者的脑电图(EEG)。脑电图记录患者出现痉挛样运动。背景活动幅度相对较高,伴有多灶性棘波或多棘波放电,与高度节律性失常相符。

图2:患者在其他组织进行的基因检测是染色体微阵列分析 (CMA),检测结果正常。经腾博会官网基因评估后,建议做跨系统致病基因鉴定基因解码但全外显子组测序鉴定出一个意义不明确的新生杂合变异 SPTBN1 (c.785A>T; p.Asp262Val)。同时进行了家族桑格测序的系谱分析(图 3)。根据 ACMG 分类,SPTBN1 变异被重新归类为疑似致病变异。在 gnomAD v4.0.0 数据集中,该变异的等位基因频率 <0.01。计算机模拟工具预测表明该变异对基因或基因产物具有破坏性作用 [REVEL:0.94(≥0.6,灵敏度 0.68,特异性 0.92);3Cnet:0.99(≥0.6,灵敏度 0.72,精度 0.9)]。
婴儿癫痫痉挛综合征家系图

图3: 患者家谱及全外显子组测序/桑格测序结果。(a)父亲SPTBN1基因桑格测序(野生型)。(b)母亲SPTBN1基因桑格测序(野生型)。(c)家族家谱及病例患者SPTBN1突变全外显子组测序结果。

腾博会官网基因癫痫基因检测案例说明了什么

腾博会官网基因的这一案例讲述的是一个儿童IESS患者,其携带新生SPTBN1 c.785A>T (p.Asp262Val)突变。根据腾博会官网基因案例集,SPTBN1突变最初在自闭症谱系障碍(ASD)患者检出,但随后该突变也在患有各种神经精神疾病的患者中,例如癫痫、智力障碍、言语障碍、注意力缺陷多动障碍中检测出来(OMIM#182790)。 IESS是一种极具破坏性的癫痫性脑病,其病因范围更广,包括结构性、遗传性、代谢性或感染性病因,并且其发育状况因早期诊断和治疗的不同而存在差异。随着癫痫的致病基因鉴定基因解码的开展,腾博会官网基因已发现超过28种与IESS相关的拷贝数变异和70种单基因致病变异。遗传变异包括染色体异常(例如21三体综合征)、单基因疾病(TSC1、TSC2、CDKL5、ARX、KCNQ2、STXBP1和SCN2A)、三核苷酸重复异常、线粒体异常,以及其他的可能的候选基因。与其他单基因疾病一样,SPTBN1突变可能是一个候选基因,它与神经元发育和动作电位产生相关的多种细胞过程有关。 频谱蛋白是重要的细胞骨架蛋白,在神经系统中普遍表达。编码神经元频谱蛋白的基因的致病变异,例如SPTAN1、SPTBN1、SPTBN2和SPTBN4,与各种神经发育障碍相关。在频谱蛋白家族基因中,SPTBN1 编码神经元 βII-频谱蛋白,它是脑中最丰富的 β-频谱蛋白,并形成 αII-频谱蛋白四聚体,插入 F- 肌动蛋白环,构建膜下周期性骨架 (MPS) 。此外,胞质中的 βII-频谱蛋白池促进轴突细胞器双向运输。 缺乏 βII-频谱蛋白的动物模型表现出皮质紊乱、发育迟缓和行为缺陷,而纯合敲除则会导致出生后早期死亡。杂合模型表现出较轻但显著的表型,这表明杂合的 SPTBN1 变异可能同样会损害神经发育和功能。 βII-频谱蛋白由两个钙调蛋白同源结构域(CH1 和 CH2)、14–17 个 SR 结构域和一个 PH 结构域组成。变异常聚集在 CH 结构域内,尤其是 CH2 结构域,该结构域表现出更高的错义约束程度 (ExAC v.10),凸显了其功能重要性。 据报道,SPTBN1 突变个体的临床异质性在于他们表现出不同程度的神经精神定向障碍。此外,14 项基因解码研究揭示了SPTBN1 突变与神经精神疾病之间的关联;腾博会官网基因病案集,已收录了 60 种变异。突变图谱如图4所示。根据腾博会官网基因癫痫疾病致病基因鉴定基因解码病案集,具有致病基因突变的个体中,有91%(55/60)的患者表现为发育迟缓、智力障碍和/或自闭症谱系障碍(ASD)。15%(9/60)的个体出现有癫痫,且癫痫相关突变主要发生在CH结构域(31.8%,7/22),而非SR结构域(10.3%,4/39)。值得注意的是,另有一名患者携带CH2结构域的终止增益突变(c.247C>T;p.Arg83Ter),该突变与严重的癫痫性脑病相关,表现为早期婴儿癫痫性脑病(EIEE)。



图4:βII-频谱蛋白功能域示意图。CH1(天蓝色)、CH2(蓝色)、SR(绿色)、PH(黄色)。标示了SPTBN1变体的位置。错义变体(红色)。终止增益/移码变体(蓝色)、剪接位点变体(深绿色)、同义变体(黄色)、其他变体(黑色)。CH1,钙调蛋白同源域1;CH2,钙调蛋白同源域2;SR,频谱蛋白重复序列​​;PH,普莱克底物蛋白同源域;ASD,自闭症谱系障碍;DD,发育迟缓;ADHD,注意力缺陷多动障碍;ID,智力障碍;EIEE,早期婴儿癫痫性脑病;N,未知。我们病例中的患者也标有黑色星号。
(责任编辑:腾博会官网基因)
顶一下
(0)
0%
踩一下
(0)
0%
推荐内容:
来了,就说两句!
请自觉遵守互联网相关的政策法规,严禁发布色情、暴力、反动的言论。
评价:
表情:
用户名: 验证码: 点击我更换图片

Copyright © 2013-2033 网站由腾博会官网基因医学技术(北京)有限公司,湖北腾博会官网基因医学检验实验室有限公司所有 京ICP备16057506号-1;鄂ICP备2021017120号-1

设计制作 基因解码基因检测信息技术部